Hip Osteotomy

Cutting and redirecting bone fragments to improve hip joint function

Hip osteotomies are used to cut the bone and redirect the fragments to improve the joint function. All hip osteotomies can cause interruption to the blood supply to the ball and induce cartilage damage in the hip.

Femoral Osteotomies

Femoral osteotomies are used to redirect the ball into the socket. The cuts are usually made at the site of the abnormality. Deformities of the head and neck are treated with osteotomies made either directly at the site of abnormality or farther away creating a compensatory deformity to balance the hip condition. The farther osteotomies are considered safer. The osteotomies are usually fixed with plates and screws. A body cast may also be used in very young children. They take 6 to 12 weeks to heal and the metallic implants are usually removed within 6 to 12 months.

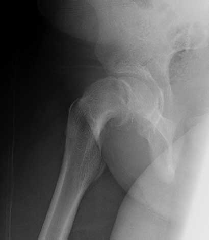
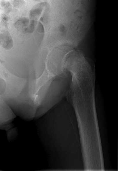
Severe unstable slipped capital femoral epiphysis
Severe unstable slipped capital femoral epiphysis.
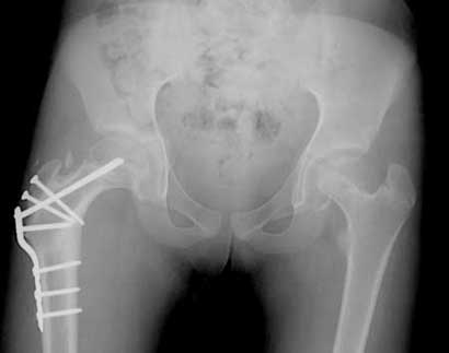
Surgical dislocation and subcapital reorientation
Surgical dislocation and subcapital reorientation of the head in severe unstable slipped capital femoral epiphysis.
Bilateral caput valgum correction
Bilateral caput valgum – correction with Wagner type of varus and neck lengthening osteotomy on the right for a similar deformity as seen on the left.
Severe slip treated with arthroscopic Dunn type of femoral neck osteotomy
Severe slip treated with arthroscopic Dunn type of femoral neck osteotomy, reduction and fixation.
Severe slip treated with arthroscopic Dunn type of femoral neck osteotomy
Severe slip treated with arthroscopic Dunn type of femoral neck osteotomy, reduction and fixation.
Severe slip treated with arthroscopic Dunn type of femoral neck osteotomy
Severe slip treated with arthroscopic Dunn type of femoral neck osteotomy, reduction and fixation.

Acetabular Osteotomies

Acetabular osteotomies are used to deepen a shallow socket, redirect the socket, or rarely correct a very deep socket. These surgeries can cause significant blood loss especially with the more complex surgeries in the older children. Metal pins, or screws are occasionally used. In young children body casts are used for 6 weeks and the metal implants are removed early.

Image pending
Figure E1
Anterior impingement from moderate acetabular retroversion on both sides.
Anterior approach for acetabular retroversion
Arthroscopy was felt to risk femoral head damage due to the acetabular retroversion. Surgical dislocation for rim trimming and anteversion periacetabular osteotomy was felt to be excessive. Hence an anterior approach was used to reduce the anterior wall, refix the labrum with three suture anchors and reshape the femoral neck anteriorly. The impingement was resolved and the same procedure was performed on the right side within a few months.

Periacetabular Osteotomy

Considered to be the best for treating a shallow socket in skeletally mature children. Performed by a select few surgeons due to the technical difficulty.

A single incision in the front of the socket allows disconnection of the socket from the reminder of the pelvis allowing repositioning of the socket in a more desirable position. Has several advantages over similar osteotomies. Blood loss can be decreased by multiple techniques including collecting the blood from the wound and transfusing it back to the patient. The ideal position of the socket may not be achieved during the first operation and it may be desirable to reposition the socket early as a simpler second procedure.

Complications

Preventive measures will be taken to avoid infections, blood clots, and blood transfusions routinely but complications cannot be prevented completely.

Image pending
Figure D1
Treated with Bernese periacetabular osteotomy with excellent correction. Massive heterotopic ossification blocking flexion required surgical excision.
Image pending
Figure D2
Left acetabular dysplasia with coxa valga and subluxation.