Tuberculosis of the Hip

TB of the hip joint — diagnosis and management

Tuberculosis is still common in India, comprising 27% of world cases. A small percentage of TB patients develop bone and joint infections. It is caused by Mycobacteria. Chronic pain, limp, muscle wasting, joint swelling, stiffness, and evening fever are common complaints.

Diagnosis

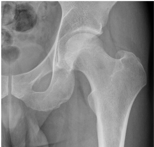
X-rays can be normal initially but can show joint space narrowing, decreased bone density, and very little reactive bone formation. MRI shows bone and joint involvement well. Current standard requires biopsy of the involved tissue to confirm the diagnosis. Cultures of mycobacteria take a long time, but genetic tests of the biopsy specimen give quick results.

Treatment

The main treatment is non-operative with multiple drugs. Multi-drug-resistant TB accounts for 27% of cases. TB causes destruction of the articular cartilage, dislocation, protrusio, avascular necrosis, and fibrous ankylosis. Joint debridement and removal of unhealthy tissue can both improve healing and optimise joint function. Persistent pain and stiffness can be treated with arthrodesis, joint excision, or total joint replacement.

Tuberculosis of the hip — radiographic findings
Tuberculosis of the hip — advanced joint destruction