Bone Marrow Edema Syndrome

Transient osteoporosis of the hip — acute pain and bone density loss

Bone marrow edema syndrome (transient osteoporosis of the hip) presents as acute hip pain and loss of bone density from an unknown cause. It is more common in women during pregnancy but also occurs in young and middle-aged men. It usually improves spontaneously but can cause avascular necrosis and pathological femoral neck fractures.

Diagnosis & Treatment

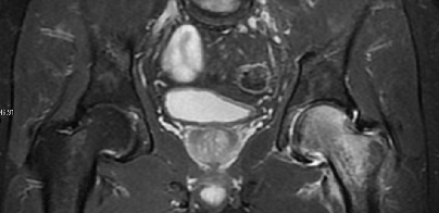
Plain radiographs may show a decrease in bone density compared to the opposite side, but MRI is diagnostic — showing diffuse marrow oedema and a large joint effusion. Treatment is symptomatic until the condition improves. Oral bisphosphonates can decrease pain and improve bone density relatively quickly. As the circulation is not affected, intra-osseous injection is not required.

Complications

Though usually self-limiting, bone marrow edema syndrome can cause avascular necrosis and pathological femoral neck fractures.

MRI of the pelvis showing diffuse edema in the left proximal femur
MRI of the pelvis showing diffuse oedema in the left proximal femur.