Osteochondritis Dissecans

Focal lesion of the cartilage and subchondral bone of the hip

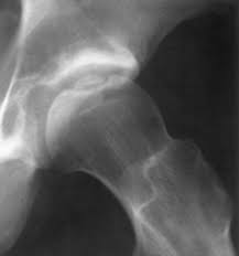
Osteochondritis dissecans describes a focal lesion of the cartilage and subchondral bone. It affects the femoral head more commonly than the acetabulum. The cause is usually a combination of trauma and local vascular disruption. It can occur after known hip conditions such as Perthes disease, AVN, and hip dysplasia. It can cause pain and mechanical problems including clicking and loose bodies. X-rays and MRI show the lesion well.

Treatment

Treatment is based on symptoms. Surgical options include:

  • Fixation of the lesion
  • Unloading with a redirectional osteotomy
  • Excision alone
  • Excision and grafting with an autologous or allograft osteochondral plug
Osteochondritis dissecans of the hip
Osteochondritis of the acetabulum

Osteochondritis of the acetabulum.