Gun Shot Wounds

Management of gunshot wounds around the hip

Gunshot wounds (GSW) are less common in India than they are in the USA. There are three types:

Types of Gunshot Wounds

Type Characteristics
High velocity >1000 ft/sec (e.g. rifle) — small entry hole, large cavity of soft tissue damage, and a large exit hole
Low velocity E.g. handgun / revolver — less soft tissue injury; the bullet is usually embedded in the tissue
Close-range shotgun Extensive damage with a wide entry wound from multiple pellets and wadding, which are retained in the tissues

Indications to Remove a Bullet

  • Metal fragment with potential to rub on an articular surface
  • Impeding tendon gliding (e.g. in the hand)
  • Pressure on the spinal cord or nerves
  • Exposure to body fluids such as joint fluid or CSF — lead can leach out and cause elevated blood lead levels
  • Removal of shotgun wadding

Fracture Management

Fractures associated with GSWs are treated like closed fractures unless soft tissue necrosis or exposed bone requires debridement. Intravenous antibiotics for 24 hours are recommended to prevent infection. GSWs through the lower bowel are considered contaminated and require more aggressive management.

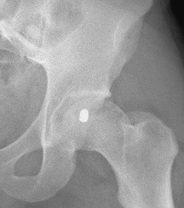
Retained bullet in the left femoral head
After surgical dislocation and bone and cartilage grafting

Retained bullet in the left femoral head removed with surgical dislocation and bone and cartilage grafting.